website templates

Research

Human behavioral analysis from high dimensionality features

Mobirise

While it is true that human behaviors and emotions cannot be easily measured and evaluated, it is possible to find correlation between human behaviors and a lot of of small, seemingly uncorrelated, features. These features could be easily measured using assorted range of sensors for a wide variety of applications, most notable one being the data-driven market research.

Automatic photo gallery summarisation using machine learning
Mobirise

One of the challenges in today where cameras are readily available is that the amount of photos taken is phenomenal. The gallery summarisation algorithms summarise the photographs based on various low-level image features such as colour, texture, tone, as well as high-level features such as object recognition and scene understanding.

Automatic tracking of X-ray diffraction pattern
Mobirise

Analysis of X-ray diffraction pattern is a very useful method in Crystallography. However, in order to analyse the pattern accurately, the location of each diffracted beam must be tracked. This project developed a novel beam tracking methods based on object tracking algorithms which can cope with the challenges of beam distortion and occlusion in real applications.

This project has finished in 2017.

Evaluation of Sensing and Computer Vision Techniques for Recycling Industry
Mobirise

Recycling industry is one of the most challenging applications for computer vision techniques. Unlike other popular applications such as face recognition, the environment of the recycling plant and the characteristic of the recyclable objects are extremely hard to define. This project addressed a set of particular vital challenges for the current recycling technologies.

This project has finished in 2016.

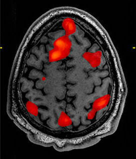
Compressed Sensing for Functional Magnetic Resonance Imaging (fMRI)
Mobirise

Functional Magnetic Resonance Imaging is a popular non-invasive tool for the study of brain activity. By incorporating the compressed sensing, a novel signal processing technique, the performance of the fMRI can be vastly improved. This was a PhD project which had been conducted between 2011--2016.

The thesis of this project is publicly available on White Rose eTheses Online.

This project has finished in 2016.

Automatic Eye Tracking for Eye Surgery Microscope
Mobirise

Manual microscope control has always been inconvenient whenever an ophthalmologist has to perform the eye surgery. This project proposes a novel eye tracking technique designed especially for incorporating into the autonomous microscope, providing the ability to track and follow the movement of the subject’s eye without the input of the ophthalmologist.

This project has finished in 2010.

Selected publications

© Copyright 2017-2019 Wattanit Hotrakool - All Rights Reserved